Are Air Fluid Levels Normal . imaging findings should be interpreted with clinical and/or endoscopic findings. Differentiating between the small and large bowel on an axr is not always.
from rc.rcjournal.com
Differentiating between the small and large bowel on an axr is not always. imaging findings should be interpreted with clinical and/or endoscopic findings.
Lung Bullae With AirFluid Levels What Is the Appropriate Therapeutic
Are Air Fluid Levels Normal Differentiating between the small and large bowel on an axr is not always. Differentiating between the small and large bowel on an axr is not always. imaging findings should be interpreted with clinical and/or endoscopic findings.
From radiologyinthai.blogspot.com
RiT radiology AirFluid Levels at Different Heights in the Same Loop Are Air Fluid Levels Normal imaging findings should be interpreted with clinical and/or endoscopic findings. Differentiating between the small and large bowel on an axr is not always. Are Air Fluid Levels Normal.
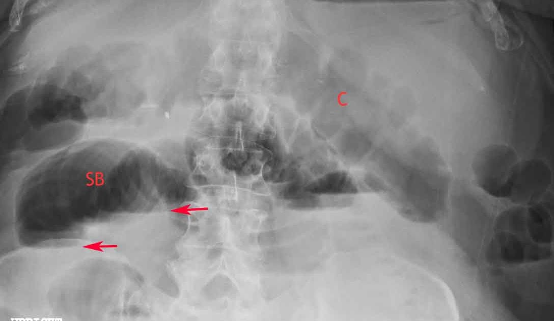
From dxoakjzii.blob.core.windows.net
AirFluid Levels Vs Normal at Deeann Chase blog Are Air Fluid Levels Normal Differentiating between the small and large bowel on an axr is not always. imaging findings should be interpreted with clinical and/or endoscopic findings. Are Air Fluid Levels Normal.
From rc.rcjournal.com
Lung Bullae With AirFluid Levels What Is the Appropriate Therapeutic Are Air Fluid Levels Normal imaging findings should be interpreted with clinical and/or endoscopic findings. Differentiating between the small and large bowel on an axr is not always. Are Air Fluid Levels Normal.
From rc.rcjournal.com
Lung Bullae With AirFluid Levels What Is the Appropriate Therapeutic Are Air Fluid Levels Normal Differentiating between the small and large bowel on an axr is not always. imaging findings should be interpreted with clinical and/or endoscopic findings. Are Air Fluid Levels Normal.
From www.researchgate.net
Abdominal Xray central airfluid levels (small intestine), blue arrow Are Air Fluid Levels Normal Differentiating between the small and large bowel on an axr is not always. imaging findings should be interpreted with clinical and/or endoscopic findings. Are Air Fluid Levels Normal.
From www.researchgate.net
Xray films showing multiple airfluid levels Download Scientific Are Air Fluid Levels Normal Differentiating between the small and large bowel on an axr is not always. imaging findings should be interpreted with clinical and/or endoscopic findings. Are Air Fluid Levels Normal.
From www.researchgate.net
Plain abdominal radiograph showing airfluid levels. Download Are Air Fluid Levels Normal Differentiating between the small and large bowel on an axr is not always. imaging findings should be interpreted with clinical and/or endoscopic findings. Are Air Fluid Levels Normal.
From www.researchgate.net
Abdominal radiograph showing multiple air fluid levels. Download Are Air Fluid Levels Normal imaging findings should be interpreted with clinical and/or endoscopic findings. Differentiating between the small and large bowel on an axr is not always. Are Air Fluid Levels Normal.
From www.researchgate.net
Appearance of airfluid level superposed with cardiac contour on Are Air Fluid Levels Normal Differentiating between the small and large bowel on an axr is not always. imaging findings should be interpreted with clinical and/or endoscopic findings. Are Air Fluid Levels Normal.
From emcrit.org
HydroPoint Ultrasound sign of airfluid level in the pleura Are Air Fluid Levels Normal Differentiating between the small and large bowel on an axr is not always. imaging findings should be interpreted with clinical and/or endoscopic findings. Are Air Fluid Levels Normal.
From dxoakjzii.blob.core.windows.net
AirFluid Levels Vs Normal at Deeann Chase blog Are Air Fluid Levels Normal Differentiating between the small and large bowel on an axr is not always. imaging findings should be interpreted with clinical and/or endoscopic findings. Are Air Fluid Levels Normal.
From www.researchgate.net
Plain abdominal radiography showing airfluid levels. Download Are Air Fluid Levels Normal Differentiating between the small and large bowel on an axr is not always. imaging findings should be interpreted with clinical and/or endoscopic findings. Are Air Fluid Levels Normal.
From www.researchgate.net
Airfluid levels in abdominal Xray graphy. Download Scientific Diagram Are Air Fluid Levels Normal Differentiating between the small and large bowel on an axr is not always. imaging findings should be interpreted with clinical and/or endoscopic findings. Are Air Fluid Levels Normal.
From emcrit.org
HydroPoint Ultrasound sign of airfluid level in the pleura Are Air Fluid Levels Normal Differentiating between the small and large bowel on an axr is not always. imaging findings should be interpreted with clinical and/or endoscopic findings. Are Air Fluid Levels Normal.
From www.researchgate.net
Chest radiograph in a patient with a single airfluid level Download Are Air Fluid Levels Normal imaging findings should be interpreted with clinical and/or endoscopic findings. Differentiating between the small and large bowel on an axr is not always. Are Air Fluid Levels Normal.
From www.researchgate.net
Upright abdominal film showing air fluid level in rightsided stomach Are Air Fluid Levels Normal Differentiating between the small and large bowel on an axr is not always. imaging findings should be interpreted with clinical and/or endoscopic findings. Are Air Fluid Levels Normal.
From www.slideserve.com
PPT Diagnostic Radiology III Definitions PowerPoint Presentation ID Are Air Fluid Levels Normal Differentiating between the small and large bowel on an axr is not always. imaging findings should be interpreted with clinical and/or endoscopic findings. Are Air Fluid Levels Normal.
From www.slideserve.com
PPT AfterNOON DELIGHT PowerPoint Presentation, free download ID1476921 Are Air Fluid Levels Normal Differentiating between the small and large bowel on an axr is not always. imaging findings should be interpreted with clinical and/or endoscopic findings. Are Air Fluid Levels Normal.